Thymic Hyperplasia after Adjuvant Chemotherapy in Endometrioid Ovarian Cancer-A Rare Case Report
Thymic Hyperplasia after Adjuvant Chemotherapy in Endometrioid Ovarian Cancer-A Rare Case Report
A B S T R A C T
We present this case to illustrate the fact that doctors need to be cognizant of the unusual presentation of thymic hyperplasia in patients receiving adjuvant chemotherapy for endometrioid ovarian cancer to avoid needless investigations and therapies. Furthermore, this case highlights the need for further studies in order to specify the correlation between thymic hyperplasia and the primary malignancy.
Keywords
Endometrioid cancer, thymic hyperplasia, adjuvant multidrug chemotherapy, thoracic oncology
Case History
The patient is a 39-year-old gravida 3 P2102 woman who had undergone total abdominal hysterectomy with bilateral salpingo-oophorectomy for stage 1C2 (T1C2-N0-M0) according to FIGO and TNM staging systems endometrioid ovarian cancer in June of 2018. The tumor was ER(+), WT1(+), P16 and P53(-). In August of 2018, a 6 cycles of adjuvant chemotherapy with Adriamycin and cisplatin was begun, completed in February of 2019. Thereafter, the patient reached complete remission and was referred to follow-up. 8 months later a CT chest scan revealed a 6 cm mass in the anterior mediastinum. The patient meanwhile was in excellent condition, tumor markers were within normal limits and no other signs of relapse were evident. Consequently, the patient was referred to our department for consultation and further evaluation.
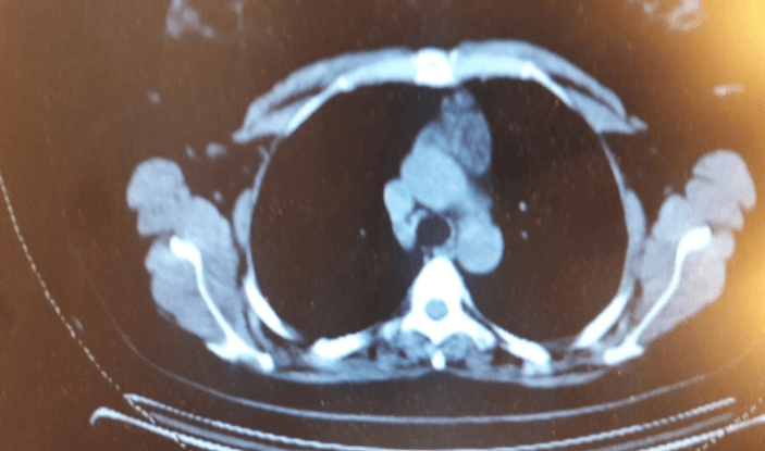
Figure 1: CT scan documents the anterior mediastinal mass.
Investigations
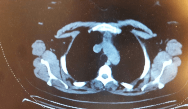
Baseline CT scan (post adjuvant chemotherapy): 1.5 cm anterior mediastinal mass; CT scan: 6 cm anterior mediastinal mass (Figures 1 & 2); PET scan: Showed no uptake in the thymus; CBC with differential showed no abnormalities or atypical lymphocytosis prior or to and after the development of thymic mass; Physical examination: No clinical signs or symptoms of myasthenia Gravis.
Figure 2: CT scan shows the anterior mediastinal mass.
Results and Treatment
After joined consultation with her oncologist a surgical approach was chosen. In November of 2019 a median sternotomy was performed with a radical thymectomy. Intraoperatively, it had been identified as an enlarged thymus (9.5 x 6 x 2.3 cm, 47 gr weight) (Figure 3).
Figure 3: The specimen after surgical resection.
Histopathology Results
Histologic examination of the thymus revealed a normal lobular architecture with a distinct corticomedullary demarcation and numerous Hassall’s corpuscles (Figure 4). Only few adipocytes were distributed throughout the thymic tissue (Figure 5). Formaldehyde-fixed and paraffin-embedded material as well as shock-frozen sections were available and after immunohistochemical test with CKAE1/AE3, CK18, CK19, CK20, CK7, CK10, CK14, CK8, CD10, CD79a, CD20, CD19, CD3, CD4, CD8, CD40, P53 and Ki67 the specimen was identified as thymic hyperplasia.
Figure 4: Hematoxylin and eosin staining reveals Hassall’s corpuscles.
Figure 5: Cytokeratin 19.
Discussion
True thymic hyperplasia such as occurred in this case is rare in adults. It is defined pathologically as an increase in both size and weight of the gland, with retention of normal microscopic architecture. Thymic hyperplasia is a very rare pathology that presents radiologically as mediastinal mass. Presumably, thymic hyperplasia after chemotherapy is more common in younger populations because the proportion of such patients with significant amounts of residual thymic tissue is greater. Thymic hyperplasia is neither tumor nor treatment specific. In some cases, it is not possible to make the distinction between a mediastinal mass due to thymic enlargement and recurrent or residual malignancy on clinical and CT scan criteria alone. Where significant doubt exists, mediastinal exploration and histological assessment may be necessary [1]. Pathophysiology of rebound thymic hyperplasia constitutes a controversial topic and it is outmost significance to distinguish it from recurrent or residual malignant disease.
Conventionally, atrophy is the first step elicited by steroid related apoptosis and inhibition of lymphocyte proliferation which is observed not only after chemotherapy but for instance in acute infection, stress, or radiation. In the sense of an immunologic rebound phenomenon, lymph follicles with large nuclear center and infiltration with plasma cells develop after the chemotherapy [2]. In these patients, hyperplasia may reflect an active cellular immune response to tumor, with an increase in naïve T cell production and facilitate an important prognostic indicator of hosts immunologic response [3-6]. Other investigators have suggested that thymic hyperplasia is caused by chemotherapy-induced gonadal atrophy, which results in increase LH hormone secretion [7-8] .
Conclusion
The case presented here illustrates the fact that doctors need to be cognizant of the unusual presentation of thymic hyperplasia in patients receiving adjuvant chemotherapy for endometrioid ovarian cancer. PET scan was helpful modality in distinguishing a benign from a malignant process. The patient is in clinical remission. Thymic hyperplasia may indicate an active cellular immune response against a tumor, thereby serving as a favorable prognostic marker. Getting acquainted with this unusual side effect may prevent needless investigation and therapy. In conclusion, the pathophysiology and clinical significance of thymic rebound phenomena in endometrioid ovarian cancer patients requires further studies.
Article Info
Article Type
Case ReportPublication history
Received: Tue 29, Sep 2020Accepted: Sat 10, Oct 2020
Published: Thu 29, Oct 2020
Copyright
© 2023 Vakouftsi Alexia- Christina. This is an open-access article distributed under the terms of the Creative Commons Attribution License, which permits unrestricted use, distribution, and reproduction in any medium, provided the original author and source are credited. Hosting by Science Repository.DOI: 10.31487/j.SCR.2020.10.11
Author Info
Vakouftsi Alexia- Christina Stamatelopoulos Athanasios Michos Thrasyvoulos Roumpaki Anastasia Chatziantoniou Christos Kalliopi Diamantopoulou Karamanis George Liontos Michalis Gakidis Ioannis Michos Petros
Corresponding Author
Vakouftsi Alexia- ChristinaGeneral Thoracic Department, of General Hospital of Attica “KAT”, Athens, Greece
Figures & Tables





References
- Brink I, Reinhardt MJ, Hoegerle S, Altehoefer C, Moser E et al. (2001) Increased metabolic activity in the thymus gland studies with 18F-FDG PET: age dependency and frequency after chemotherapy. J Nucl Med 42: 591-595. [Crossref]
- Haynes BF, Hale LP (1998) The human thymus. A chimeric organ comprised of central and peripheral lymphoid components. Immunol Res 18: 61-78. [Crossref]
- Mackall CL, Fleisher TA, Brown MA, Andrich MP, Chen CC et al. (1995) Age, thymopoeisis, and CD4+ T lymphocyte regeneration after invasive chemotherapy. N Engl J Med 332: 143-149. [Crossref]
- Mackall CL, Fleisher TA, Brown MA, Andrich MP, Chen CC et al. (1997) Distinctions between CD8+ and CD4+ T cell regenerative pathways result in prolonged T cell subset imbalance after invasive chemotherapy. Blood 89: 3700-3707. [Crossref]
- Mackall CL, Hakim FT, Gress RE (1997) T cell regeneration: all repertoires are not created equal. Immunol Today 18: 245-251. [Crossref]
- Sperandio P, Tomio P, Oliver RT, Fiorentino MV, Pagano F et al. (1996) Gonadal atrophy as a cause of thymic hyprsteerplasia after chemotherapy. Br J Cancer 74: 991-992. [Crossref]
- Wenger MC, Cohen AJ, Greensite F (1994) Thymic rebound in a patient with scrotal mesothelioma. J Thorac Imaging 9: 145-147. [Crossref]
- Simmonds P, Silberstein M, McKendrick J (1993) Thymic hyperplasia in adults following chemotherapy for malignancy. Aust N Z J Med 23: 264-267. [Crossref]
