Intracerebral Calcifying Pseudoneoplasm of the Neuroaxis (CAPNON) Presenting with an Atypical Immunohistochemical Profile: Case Report and Review of the Literature
A B S T R A C T
Background: Calcifying pseudoneoplasm of the neuroaxis (CAPNON) is a very rare benign lesion that can be located anywhere in the nervous system, with only 59 intracranial cases described. The general lack of knowledge about this lesion hinders its preoperative diagnosis. Despite the consistent image findings, the final diagnosis is only established based on anatomopathological and immunohistochemical studies. The lesion is more commonly positive for epithelial membrane antigen (EMA) and vimentin, and negative for glial fibrillary acidic protein (GFAP) and S-100, suggesting a leptomeningeal origin. The opposite, however, may also occur, although very rarely (just two cases positive for GFAP and negative for EMA and vimentin reported this far). The treatment consists of total resection of the lesion, which yields a good prognosis.
Case Presentation: We report the case of a 23-year-old female who presented with disperceptive focal seizures, sometimes evolving to bilateral tonic-clonic seizures, starting at age 9. She had a nodular calcified lesion in the left precuneus and inferior parietal lobe. The lesion was completely resected, and the immunohistochemical study revealed positivity for EMA, vimentin, GFAP, and S-100. No case hitherto published was positive for all four markers. This atypical immunohistochemical profile of the CAPNON may suggest a dual origin of this lesion, both parenchymal and leptomeningeal.
Conclusion: The general lack of knowledge of CAPNON makes this lesion underdiagnosed. Therefore, in the face of a calcified lesion in the nervous system, one should consider the possibility of a CAPNON among the differential diagnoses. The immunohistochemistry is undoubtedly an important tool, but the anatomopathological study, associated with image findings, remain the gold standard for the diagnosis of CAPNON.
Keywords
CAPNON, calcifying pseudoneoplasm of the neuroaxis, intracerebral calcification, epilepsy, GFAP, S-100, EMA, vimentin
Background
The nosological entity called calcifying pseudoneoplasm of the neuroaxis (CAPNON) was first described by Rhodes and Davis more than 40 years ago, but its etiopathogenesis remains still unclear [1]. With just 59 intracranial cases described, the disease presents nonspecific clinical manifestations, but a suggestive imaging aspect, which helps its diagnosis [2, 3]. This can be located in any region of the nervous system, determining the appearance of seizures, cranial nerves deficits, radiculopathies, and refractory headaches, among other findings. Complete surgical resection is usually curative, except for those lesions located in regions of difficult access or in eloquent brain areas, considering the high risk of morbidity [4-7].
We report the case of a female patient presenting imaging findings compatible with CAPNON, which was confirmed by the anatomopathological study. Interestingly, immunohistochemistry showed a profile completely different from all previously reported cases of CAPNON, highlighting the importance of the case here presented.
Case Presentation
Female patient, 23-year-old, presenting with disperceptive focal seizures, sometimes evolving to bilateral tonic-clonic seizures, starting at age 9. Carbamazepine 600 mg daily was instituted at age 13, resulting in complete control of the tonic-clonic seizures, but not of the disperceptive focal seizures, which occurred once or twice a month. She had no other complaints. When asked, the patient denied any previous significant head injury or any other diseases. Neurological examination was completely normal.
Figure 1: A-C) Preoperative non-contrast head CT showing a calcified parietal lesion.
The electroencephalogram disclosed left centrotemporal cortical epileptogenic activity. Head computed tomography (CT) showed a nodular calcified lesion, located in the left precuneus and inferior parietal lobule (Figure 1). On brain magnetic resonance (MR), there was an oval-shaped lesion measuring 2.7 x 2.4 x 1.9 cm in its largest axes, of heterogeneous intensity but with a low signal intensity predominance, mainly on the susceptibility-weighted sequences, without restricted diffusion or contrast enhancement (Figure 2). There was little adjacent edema. Considering the significance of the voluminous calcification, a screening for metabolic disturbances of some minerals was performed: calcium, magnesium, ferritin, T4 (thyroxine), TSH (thyrotrophic stimulating hormone), calcitonin, and parathormone serum levels were normal, while phosphorus and transferrin serum levels were below the normal range. Cervical ultrasound depicted a well-defined solid oval nodule, predominantly hypoechogenic, located in the left thyroidal lobe, with central and peripheral vascularization; the parathyroid regions, though, did not show any abnormalities. At this moment, the diagnostic hypotheses of cavernoma, calcified neurocysticercosis, and calcified intra-axial meningioma were proposed. A lumbar tap was then performed, and the cerebrospinal fluid analysis was completely normal, being the immunological test (ELISA) for neurocysticercosis negative.
Figure 2: A) Preoperative brain MR showing a predominantly hypointense signal parietal lesion suggestive of calcification on T2*; B-D) A high intensity peripheral signal, that can be seen also in cavernomas and other hemorrhagic lesions, on unenhanced and post contrast T1-weighted images; E) An heterogeneous signal intensity on T2-weighted image; and F) A small amount of perilesional edema on FLAIR.
The patient underwent surgical resection of the lesion via a left parasagittal approach. Microsurgical en bloc gross total removal of the lesion was performed via a transulcal route through the intraparietal sulcus. Intraoperatively, the lesion had a solid characteristic, with a hardened consistency, presenting no adhesions to the cerebral parenchyma or any relationship with the meninges. Surgery was uneventful and the patient did not present any complications.
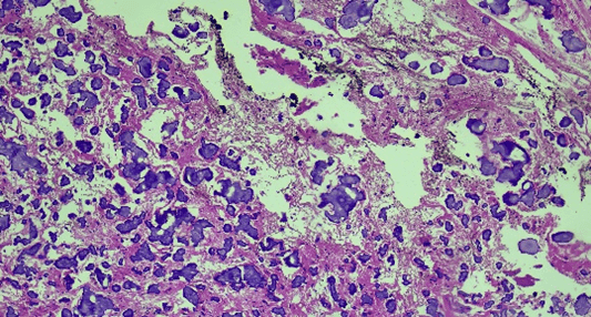
In the anatomopathological study, the lesion was well circumscribed, not encapsulated, and composed predominantly of spindle cells, with indistinct cytoplasm. In addition, it presented a delicate and fibrillar stroma with a prominent presence of calcified bodies, similar to psammomas, uniformly arranged (Figure 3). Immunohistochemical evaluation revealed cells diffusely positive for glial fibrillary acidic protein (GFAP), S-100, epithelial membrane antigen (EMA), and vimentin (Figure 4), and negative for progesterone receptor, pan-cytokeratins (AE1/AE3), Ki-67 (MIB-1), synaptophysin, and IDH-1. On CD34, no vascular anomalies were observed, and the reticulin stain revealed intact and parallel fibers. Based on these findings and on those from the imaging studies, the diagnosis of CAPNON was established. This diagnosis was confirmed by three other board certified pathologists, including a colleague from the University of Toronto.
Figure 3: Photomicrograph (hematoxylin and eosin staining) showing spindle cells interspersed with several calcified bodies similar to psammomas (10x magnification).
Figure 4: Immunohistochemistry showing positivity for A) GFAP, B) S-100, C) EMA, and D) vimentin.
Early postoperative CT and late postoperative MR (36 months) confirmed complete lesion resection (Figure 5). The patient has been followed-up for 3 years, presenting, so far, a good outcome. A recent electroencephalogram was normal. She remains seizure-free since surgery and the anticonvulsant therapy (carbamazepine) was progressively discontinued.
Figure 5: A) Postoperative T2* and B) post contrast T1-weighted brain MR sequences showing complete resection of the lesion.
Discussion
CAPNON is a very rare benign lesion that grows slowly and can be located anywhere in the central nervous system, both intra- and extra-axially, or, even more rarely, in the peripheral nervous system. Due to its diversity of locations, the patient may present varied symptoms which are specific for each site [8-15]. Those with supratentorial intracranial lesions usually present with seizures, headache, and motor/sensory impairment [16-18]. Our patient had only treatment-resistant disperceptive focal seizures. The tonic-clonic seizures were well controlled with the anticonvulsant therapy.
CAPNON with intracranial involvement has been reported, so far, in only 59 patients, among which there was a slight predominance in males. The age of diagnosis varied between 8 and 83 years, the majority after the sixth decade of life [19].
The preoperative diagnosis of CAPNON is still difficult despite the suggestive radiological findings, which is probably due to the general lack of knowledge of this disease [19]. On CT, the characteristic finding is of a dense calcified mass, just as seen in our patient. However, the diagnostic hypothesis cannot be firmed solely on CT grounds since many intracranial lesions may present as calcified masses [20-22]. On MR, a characteristic pattern of a diffuse hypointense mass is observed in all sequences, especially on susceptibility-weighted ones, due to the presence of the calcification. Edema may or not occur and when present, it is usually of small magnitude. The popcorn aspect can also be observed, like that seen in the cavernomas. Contrast enhancement may or not occur, but when present, it is small and heterogeneous [21]. The differential diagnosis with vascular malformations can be established based on vascular studies, whereas for central nervous system infections (neurotoxoplasmosis and neurocysticercosis), lumbar tap with analysis of the cerebrospinal fluid is also important [23]. When in close proximity to the dura, it can be mistakenly diagnosed as a meningioma [24]. Even in cases of true intraparenchymal lesions, the possibility of an intracerebral meningioma should be kept in mind. Despite the consistent MR findings, the diagnosis of CAPNON could only be established after the anatomopathological study.
Pathogenesis of these lesions remains poorly understood. Reports have suggested that these lesions may develop as a distorted healing response to a causal factor such as trauma, infection or inflammation [25, 26]. It has also been hypothesized that the initiating event may involve a possibly localized metabolic dysfunction determining calcium deposition and/or anomalous blood vessels that permit excessive transport and accumulation of minerals in blood vessel walls or in the perivascular area. Over time the larger, older lesions may undergo ossification and cause a reactive fibroblastic and histiocytic response [23].
According with the review of the literature, the histopathological findings of the CAPNON include the pattern observed in our patient, which was described in several other cases, especially the scattered calcified basophilic bodies within spindle cells in a delicate and fibrillar stroma without mitoses. Other patterns that can be found are the chondromyxoid matrix in a nodular pattern, the osseous metaplasia, the foreign-body reaction with giant cells, and the psammoma-like bodies, of which only the latter was observed in our patient [4, 19, 27-31]. It is important to note that these characteristics may also be seen in entities such as chordomas, chondrosarcomas, osteosarcomas, meningiomas or schwannomas, which should be considered among the differential diagnoses.
Usually, CAPNON stains positive for EMA and vimentin, and is negative for S-100 and GFAP [18, 19, 30, 32]. The fact that the rimming “epithelioid” cells often are EMA immunoreactive suggests an association with, if not the origin from, the leptomeninges [33]. According to Ho et al. (2020), 93% of the intracranial CAPNON are related to the meninges, which can explain the EMA and vimentin immunoreactivity [2]. The positivity to GFAP, on the other hand, a finding only described twice before, suggests an exclusive intraparenchymal origin of these lesions; in such cases, though, the lesion was negative for EMA and vimentin [25, 33]. In our patient, curiously, the lesion was positive for all these markers. To the best of our knowledge, it is the first time this type of immunohistochemical profile was described, suggesting a dual origin of the CAPNON, i.e., parenchymal and leptomeningeal.
The final diagnosis of CAPNON can only be established based on both image and histopathological criteria [19, 30].
The recommended treatment is total resection of the lesion, which is usually curative, yielding high rates of seizure control [19, 26, 34-36]. Recurrences are rare, and not described if total resection is achieved [18, 37]. Our patient was treated with total resection of the lesion, as recommended. She presented, as expected, a good outcome, with remission of the seizures, being the anticonvulsant therapy, used for 13 years, discontinued.
Conclusion
The general lack of knowledge of CAPNON makes this lesion underdiagnosed. Therefore, in the face of a calcified lesion in the nervous system, one should consider the possibility of a CAPNON among the differential diagnoses. The immunohistochemistry is undoubtedly an important tool, but the anatomopathological study, associated with image findings, remain the gold standard for the diagnosis of CAPNON.
Consent
Informed consent was obtained from the patient to publish the details of the case, and her identity has been protected.
Availability of Data and Materials
All the data reported in this manuscript are available upon reasonable request from the corresponding author (OVF). These data are not publicly available due to the risk of compromising the patient privacy.
Competing Interests
None of the authors have conflicts of interest in relation to this manuscript. None of the authors have been financially supported or have industry affiliations in relation to this manuscript.
Funding
There were no special grants for this research. It was performed with the resources available on an everyday basis in the Division of Neurosurgery, Department of Surgery, Medical School, Federal University of Goiás.
Author Contributions
All the authors contributed equally for this study and in the preparation of this manuscript.
Acknowledgements
The authors would like to express their gratitude to the colleagues Rômulo A. S. Marques, M.D.; Maurício S. B. Leite, M.D.; Élbio C. de Paula, M.D.; Israel B. S. Carneiro, M.D.; and Danilo Retucci for their help in the treatment and investigation of the patient reported in this manuscript.
Abbreviations
CAPNON: Calcifying Pseudoneoplasm of the Neuroaxis
CT: Computed Tomography
EMA: Epithelial Membrane Antigen
GFAP: Glial Fibrillary Acidic Protein
MR: Magnetic Resonance
T4: Thyroxine
TSH: Thyrotrophic Stimulating Hormone
Article Info
Article Type
Case Report and Review of the LiteraturePublication history
Received: Sat 28, Nov 2020Accepted: Tue 08, Dec 2020
Published: Sat 19, Dec 2020
Copyright
© 2023 Osvaldo Vilela-Filho. This is an open-access article distributed under the terms of the Creative Commons Attribution License, which permits unrestricted use, distribution, and reproduction in any medium, provided the original author and source are credited. Hosting by Science Repository.DOI: 10.31487/j.SCR.2020.12.18
Author Info
Helioenai S. Alencar Victor P. Coelho Luiz A. Ferreira-Filho Lissa C. Goulart Siderley S. Carneiro Osvaldo Vilela-Filho
Corresponding Author
Osvaldo Vilela-FilhoDivision of Neurosurgery, Department of Surgery, Medical School, Federal University of Goiás, Goiânia, Goiás, Brazil
Figures & Tables





References
- Rhodes RH, Davis RL (1978) An unusual fibro-osseous component in intracranial lesions. Hum Pathol 9: 309-319. [Crossref]
- Ho ML, Eschbacher KL, Paolini MA, Raghunathan A (2020) New insights into calcifying pseudoneoplasm of the neuraxis (CAPNON): a 20-year radiological-pathological study of 37 cases. Histopathology 76: 1055‐1069. [Crossref]
- Stienen MN, Abdulazim A, Gautschi OP, Schneiderhan TM, Hildebrandt G et al. (2013) Calcifying pseudoneoplasms of the neuraxis (CAPNON): clinical features and therapeutic options. Acta Neurochir (Wien) 155: 9‐17. [Crossref]
- Alshareef M, Vargas J, Welsh CT, Kalhorn SP (2016) Calcifying Pseudoneoplasm of the Cervicomedullary Junction: Case Report and a Literature Review. World Neurosurg 85: 364.e11-364.e18. [Crossref]
- Bertoni F, Unni KK, Dahlin DC, Beabout JW, Onofrio BM (1990) Calcifying pseudoneoplasms of the neural axis. J Neurosurg 72: 42‐48. [Crossref]
- Blood TC, Rodriguez FJ, Nolan N, Ramanathan M Jr, Desai SC (2018) Anterior Cranial Fossa Calcifying Pseudoneoplasm of the Neuroaxis-Diagnosis Using a Transblepharoplasty Approach. J Neurol Surg Rep 79: e75‐e78. [Crossref]
- Peker HO, Aydin I, Baskaya MK (2018) Calcifying Pseudoneoplasm of the neuraxis (CAPNON) in lateral cerebellomedullary junction: clinical image with surgical video. World Neurosurg 115: 206‐207. [Crossref]
- Fletcher AM, Greenlee JJD, Chang KE, Smoker WR, Kirby PA et al. (2012) Endoscopic resection of calcifying pseudoneoplasm of the neuraxis (CAPNON) of the anterior skull base with sinonasal extension. J Clin Neurosci 19: 1048‐1049. [Crossref]
- Hodges TR, Karikari IO, Nimjee SM, Tibaleka J, Friedman AH et al. (2011) Calcifying pseudoneoplasm of the cerebellopontine angle: case report. Neurosurgery 69: onsE117- onsE120. [Crossref]
- Lu JQ, Yang K, Reddy KKV, Wang BH (2020) Incidental multifocal calcifying pseudoneoplasm of the neuraxis: case report and literature review. Br J Neurosurg 2020: 1‐8. [Crossref]
- Montibeller GR, Stan AC, Krauss JK, Nakamura M (2009) Calcifying pseudoneoplasm of the inferior colliculus: an unusual location for a rare tumor: case report. Neurosurgery 65: E1005‐E1006. [Crossref]
- Nonaka Y, Aliabadi HR, Friedman AH, Odere FG, Fukushima T (2012) Calcifying pseudoneoplasms of the skull base presenting with cranial neuropathies: case report and literature review. J Neurol Surg Rep 73: 41‐47. [Crossref]
- Nussbaum ES, Hilton C, Defillo A, McDonald W, Passe T et al. (2018) Extradural petromastoid calcifying pseudoneoplasm of the neuraxis (CAPNON): case report and literature review. Clin Neurol Neurosurg 166: 99‐106. [Crossref]
- Thakur B, Riches S, Costello A, Aizpurua M, Bodi I et al. (2019) Calcifying Pseudoneoplasm of the Neuraxis, Cerebellum and Cognition: A Rare Opportunity to Learn More. Cureus 11: e3982. [Crossref]
- Wiśniewski K, Janczar K, Tybor K, Papierz W, Jaskólski DJ (2015) Calcifying pseudoneoplasm of the foramen magnum - case report and review of the literature. Br J Neurosurg 29: 891‐893. [Crossref]
- Conway KS, Jentzen J, Pratt D, Camelo-Piragua S (2020) Sudden Death Due to Calcifying Pseudoneoplasm of the Neuraxis: A Case Report and a Review of Sudden Death Due to Undiagnosed Central Nervous System Mass Lesions. Am J Forensic Med Pathol 41: 70‐74. [Crossref]
- Ozdemir M, Bozkurt M, Ozgural O, Erden E, Tuna H et al. (2011) Unusual localization of an unusual tumor: calcifying pseudoneoplasm of the foramen magnum. Clin Neuropathol 30: 25‐27. [Crossref]
- Safaee MM, Jonzzon S, López GY, Asaikar S, Tihan T et al. (2018) Perilesional edema associated with an intracranial calcifying pseudoneoplasm of the neuraxis in a child: case report and review of imaging features. J Neurosurg Pediatr 22: 528‐531. [Crossref]
- Vallejo FA, Chen SH, Bano G, Gultekin S, Morcos J (2020) Calcifying pseudoneoplasm of the neuroaxis presenting with refractory seizures: case report and literature review. J Clin Neurosci 78: 439-443. [Crossref]
- Barber SM, Low JCM, Johns P, Rich P, MacDonald B et al. (2018) Calcifying pseudoneoplasm of the neuraxis: a case illustrating natural history over 17 years of radiologic surveillance. World Neurosurg 115: 309‐319. [Crossref]
- Muccio CF, Cerase A, Leone A, Dalena AM, Di Blasi A et al. (2012) Calcifying Pseudoneoplasm of the Neuraxis. Two Case Reports and Review of CT and MR Findings. Neuroradiol J 25: 453‐459. [Crossref]
- Pithon RFA, Bahia PRV, Marcondes J, Canedo N, Marchiori E (2019) Calcifying pseudoneoplasm of the neuraxis. Radiol Bras 52: 342‐343. [Crossref]
- Abdaljaleel M, Mazumder R, Patel CB, Im K, Pope W et al. (2017) Multiple calcifying pseudoneoplasms of the neuraxis (MCAPNON): distinct entity, CAPNON variant, or old neurocysticercosis? Neuropathology 37: 233‐240. [Crossref]
- Paolini MA, Ho ML, Monahan HR, Raghunathan A (2018) Supratentorial CAPNON associated with WHO grade II meningioma: A case report. Neuropathology 38: 535‐538. [Crossref]
- Gauden AJ, Kavar B, Nair SG (2019) Calcifying pseudoneoplasm of the neuraxis: A case report and review of the literature. J Clin Neurosci 70: 257‐259. [Crossref]
- Yang K, Reddy K, Ellenbogen Y, Wang BH, Bojanowski MW et al. (2020) Skull base calcifying pseudoneoplasms of the neuraxis: two case reports and a systematic review of the literature. Can J Neurol Sci 47: 389‐397. [Crossref]
- Duque SG, Lopez DM, de Méndivil AO, Fernández JD (2016) Calcifying pseudoneoplasms of the neuraxis: report on four cases and review of the literature. Clin Neurol Neurosurg 143: 116‐120. [Crossref]
- Inukai M, Shibahara I, Hotta M, Miyasaka K, Sato S et al. (2020) Case of calcifying pseudoneoplasms of the neuraxis coexisting with interhemispheric lipoma and agenesis of the corpus callosum: involvement of infiltrating macrophages. World Neurosurg 134: 635‐640.e1. [Crossref]
- Mohapatra I, Manish R, Mahadevan A, Prasad C, Sampath S et al. (2010) Calcifying pseudoneoplasm (fibro osseous lesion) of neuraxis (CAPNON) - A case report. Clin Neuropathol 29: 223‐226. [Crossref]
- Lyapichev K, Bregy A, Shah AH, Shah K, Desai MB et al. (2014) Occipital calcified pseudoneoplasms of the neuraxis (CAPNON): understanding a rare pathology. BMJ Case Rep 2014: bcr2014206855. [Crossref]
- Brasiliense LB, Dickson DW, Nakhleh RE, Tawk RG, Wharen R (2017) Multiple Calcifying Pseudoneoplasms of the Neuraxis. Cureus 9: e1044. [Crossref]
- Higa N, Yokoo H, Hirano H, Yonezawa H, Oyoshi T et al. (2017) Calcifying pseudoneoplasm of the neuraxis in direct continuity with a low-grade glioma: A case report and review of the literature. Neuropathology 37: 446‐451. [Crossref]
- Hubbard M, Qaiser R, Clark HB, Tummala R (2015) Multiple calcifying pseudoneoplasms of the neuraxis. Neuropathology 35: 452-455. [Crossref]
- Tanoue Y, Uda T, Nakajo K, Nishijima S, Sasaki T et al. (2019) Surgically treated intracranial supratentorial calcifying pseudoneoplasms of the neuraxis (CAPNON) with drug-resistant left temporal lobe epilepsy: A case report and review of the literature. Epilepsy Behav Case Rep 11: 107-114. [Crossref]
- Grabowski M, Recinos P, Chen T, Prayson R, Vogelbaum M (2013) Calcifying pseudoneoplasm of the neuraxis overlying the corpus callosum: a case report and review of the literature. Clin Neuropathol 32: 515‐521. [Crossref]
- Duchesne M, Nguyen QD, Guyot A, Pommepuy I et al. (2018) Pseudo-tumeur calcifiante du névraxe [calcifying pseudoneoplasm of the neuraxis]. Ann Pathol 38: 391‐394. [Crossref]
- Watanabe A, Nakanishi K, Kataoka K, Wakasa T, Ohta Y (2018) Regrowth and progression of multiple calcifying pseudoneoplasms of the neuraxis: case report. Surg Neurol Int 9: 243. [Crossref]
