A Diagnostic Dilemma of Hepatocellular Carcinoma on a Background of Thalassemia
A B S T R A C T
Purpose: Thalassemia (HbH) is a chronic condition that may have potential complications of liver cirrhosis secondary to iron overload or hepatitis. Iron deposition in the liver can mask the classic imaging findings of hepatocellular carcinoma. We report an interesting case with similar nature with diagnostic dilemma, where multiple imaging modalities were unable to delineate the nature of the liver nature, and the patient was eventually diagnosed with hepatocellular carcinoma, after percutaneous biopsy was performed.
Method: A 61-year-old male, with background history of HbH disease and transfusion dependent, presented with an incidental finding of 2 liver nodules on an ultrasound scan after complaints of right hypochondrium pain. A computed tomography (CT) scan diagnosed one nodule as a flash-filling haemangioma but was inconclusive about the other larger nodule. A magnetic resonance imaging (MRI) scan was also inconclusive but gave the differentials of extramedullary haematopoiesis. A sulphur colloid scan did not show uptake, making extramedullary haematopoiesis less likely.
Results: A percutaneous biopsy of the indeterminate liver nodule was performed, and the histology showed hepatocellular carcinoma. The patient underwent wedge resection of the hepatocellular carcinoma and recovered well post-operatively.
Conclusion: In the event of inconclusive imaging in patients with significant risk factors for hepatocellular carcinoma, a percutaneous biopsy should be performed for definitive diagnosis.
Keywords
Hepatocellular carcinoma, HbH disease, thalassemia, extramedullary haematopoiesis
Case Report
A 61-year-old gentleman with past medical history of Haemoglobin H disease (HbH thalassemia), diagnosed at the age of two. He is blood transfusion dependent and requires an average of three to four blood transfusions per year, with a baseline haemoglobin level of 7.0 to 8.0g/dL (normal 13.0-17.0g/dL). Due to multiple blood transfusions, his condition is complicated by hepatosplenomegaly, chronic thrombocytopenia and iron overload. He is on oral iron chelation therapy (deferiprone) for iron overload, and his ferritin levels are 652ug/L. He was admitted for symptomatic anaemia with symptoms of breathlessness. Blood results showed haemoglobin level of 5.3g/dL, white blood cell count was 3.7x103/uL, platelets were 88x103/uL. Renal panel were unremarkable. Serum iron was 39.0umol/L (normal 11.0-29.0 umol/L) and serum ferritin was 652.3ug/L (normal 32.0 to 294.0 ug/L).
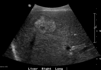
During this admission, an ultrasound hepatobiliary system (US HBS) was performed due to complaints of pain over the right hypochondrium area. The US HBS (Figure 1) showed presence of a heterogeneously echogenic indistinct mass in the right lobe of the liver measuring 4.7 x 3.8 x 3.9cm with interval vascularity. Another homogenously hypoechoic nodule in segment VI was also seen, measuring 1.1 x 0.9 x 0.8cm. Due to the nature of the lesions, they remain indeterminate, and thus, the patient was referred to the hepatobiliary surgery for further management. His alpha-feto protein level was 13.03ug/L (1.00-10.00ug/L).
Figure 1: Ultrasound hepatobiliary system showing the 4.7 x 3.8 x 3.9 cm hyperechoic mass.
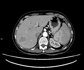
Figure 2A: Arterial phase computed tomography scan of the liver. Lesion in segment VII remained hypodense when compared to surrounding liver parenchyma.
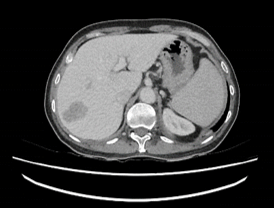
Figure 2B: Venous phase of computed tomography scan of the liver, the lesion in segment VII remain hypodense relative to liver.
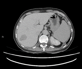
Figure 2C: Delayed phase of contrasted computed tomography scan of the liver, the lesion in segment VII remains hypodense relative to liver.
We proceeded with a computed tomography of the liver (CT liver) for further evaluation. CT liver showed a 4.3 x 2.4cm heterogeneously hypodense lobulated mass in segment VII of the liver. The mass was hypodense to the liver on all phases (plain, arterial, venous and delayed). There was mild heterogeneous enhancement, but there was no arterial enhancement (Figure 2A), washout (Figures 2B & 2C) or pseudo capsule, which should be expected in hepatocellular carcinoma. In view of the known history of thalassemia and the presence of paravertebral soft tissue masses that were likely to be extramedullary haematopoiesis, the possibility of extramedullary haematopoiesis was suggested. The other lesion was a 0.9cm hypodensity in segment VI of the liver, which was diagnosed as a flash-filling haemangioma. A magnetic resonance imaging (MRI) was then ordered for the indeterminate segment VII lesion. On MRI, the hepatic segment VII mass in question showed mild heterogeneous contrast enhancement but no appreciable arterial enhancement, washout or pseudo capsule (Figure 3A & Figure 3B).
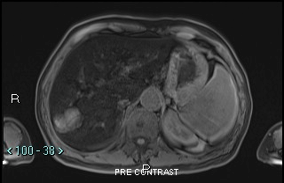
Figure 3A: Non-contrast fat saturated T1 magnetic resonance imaging of the liver with diffuse low signal of hepatic parenchyma from iron deposition. The lesion in segment VII is minimally T1 high signal.
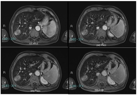
Figure 3B: Magnetic resonance imaging of the liver that shows lobulated mass in segment VII, with mild heterogenous contrast enhancement without significant enhancement in the arterial phase or washout or pseudo capsule on portal venous or delayed phases.
Figure 4: Fused images of the SPECT-CT scan.12.3mCi of Tc-99 nanocolloid was injected intravenously. Segment VII mass shows reduced tracer uptake relative to liver parenchyma. There is also reduced uptake relative to vertebral bone marrow (right).
Paravertebral soft tissue densities are seen along thoracic spine with associated minimal tracer uptake, representing foci of extramedullary haematopoiesis (left).
The lesion remained indeterminate due to the absence of typical features for hepatocellular carcinoma. Extramedullary haematopoiesis remained a possibility and a tc-99m sulphur-colloid scan was suggested for further characterisation. On MRI, the liver also showed marked low signal on T1 and T2 as well a gain in signal on the in-phase T1 scan. These findings were compatible with hepatic hemosiderosis. MRI also confirmed that the smaller lesion in segment VI was a flash-filling haemangioma.
In view of the inconclusive results, a tc-99m sulphur colloid scan was performed, and it showed a marked lack of uptake (photopaenic area) corresponding to the segment VII lesion in question (Figure 4), suggesting that extramedullary haematopoiesis was an unlikely diagnosis and the lesion remained indeterminate. The patient then underwent a percutaneous biopsy of the segment VII lesion, and the result returned as hepatocellular carcinoma, poorly differentiated. He then underwent wedge resection of segment VI/VII and recovered well post-operatively. The final histology was reported as moderately differentiated hepatocellular carcinoma, 4.2cm in size, on a background of grade 3+ hepatocytic hemosiderosis and bridging fibrosis.
Differential Diagnoses
The main differential diagnosis provided by imaging for the inconclusive liver nodule in segment VII was extramedullary haematopoiesis due to the background history of thalassemia. The other possible diagnosis includes that of focal nodular hyperplasia, hepatic adenoma or hepatic metastasis from another primary.
Discussion
Thalassemia is an inherited haemoglobin disorder that results in chronic haemolytic anaemia [1]. Due to multiple blood transfusions, these patients are at risk of blood-borne infections, either hepatitis B or hepatitis C. Due to iron overload from chronic haemolytic anaemia and repeated blood transfusions, they can progress to develop hemochromatosis, which is a known risk factor for HCC. In the literature, there has been an increasing incidence of hepatocellular carcinoma (HCC) in thalassemia patients., largely contributed by the two main causes as mentioned. In one prospective study performed, it was reported that incidence of HCC in the adult population was about 2% [2]. Hence, many papers have recommended for early screening for HCC in thalassemia patients [3]. The recommendation for screening of HCC is ultrasonography [4]. In patients whose surveillance test is positive, either due to elevated serum biochemical marker or due to abnormal findings on ultrasound, the most definitive imaging examination is that of multiphasic CT and MR imaging with extracellular agents as first-line modalities.
On CT and MRI, HCC has unique tumour characteristics on the critical contrast enhanced phases of the late arterial, portal venous and delayed phases [5]. The classical imaging features of HCC would be arterial phase enhancement with rapid washout as well as a pseudo capsule on portal venous and delayed phases. The presence of these classic features allows the diagnosis of HCC on imaging, significantly reducing the need for percutaneous biopsy [6]. Technitium tc-99m Sulphur Colloid is a gamma-emitting colloid and when injected into the body, is taken up by the reticuloendothelial system. In cases where extramedullary haematopoisis is occurring, sulphur colloid is also taken strongly in these areas, allowing the diagnosis of this condition. The gamma-emission from tc-99m is then picked up by gamma-ray scintillation camera and fused with non-contrast CT images, allowing the areas of extramedullary haematopoisis to be localised.
However, our case was more complicated as both CT and MRI did not show classic imaging features of HCC. The possibility of extramedullary haematopoiesis was considered but was less likely after tc-99m sulphur colloid scan was performed. Hence, we proceeded with biopsy for histological diagnosis as per the American Association for Study of Liver Disease (AASLD) [7]. A prospective study of 72 liver nodules conducted showed that up to 17% of these nodules which turned out to be HCC, were not picked up on the current recommended diagnostic tool of the use of US or CT imaging, particularly for liver nodules between 1 and 2cm, as these nodules appeared hypodense on one imaging modality, and required another form of imaging or biopsy to come to a diagnosis [8].
In a recent meta-analysis of imaging for the diagnosis of hepatocellular carcinoma, CT, extracellular contrast-enhanced MRI or gadoxetate-enhanced MRI cannot be definitively preferred for HCC diagnosis with cirrhosis. There is inadequate data in the literature comparing biopsy to repeat cross-sectional imaging or alternative imaging [9]. An estimated 15% of patients with HCC, in particular early HCC, will not present with radiological hallmarks of arterial enhancement and washout [10]. When imaging characteristics are insufficient to establish the diagnosis of HCC, biopsy may be needed to distinguish early HCC from high grade dysplastic nodules.
Conclusion
The diagnosis of HCC can sometimes be very challenging. The management of liver tumour in this patient is similar to other patients with risk factors for HCC. In the event when the diagnosis is inconclusive for a significant size liver tumour on imaging, especially with risk factors for hepatocellular carcinoma, a biopsy should be offered.
Conflicts of Interest
None.
Consent
Informed consent was obtained from participating individual included in the report.
Article Info
Article Type
Case ReportPublication history
Received: Mon 06, Jan 2020Accepted: Fri 31, Jan 2020
Published: Tue 18, Feb 2020
Copyright
© 2023 Tan Hui Min Grace. This is an open-access article distributed under the terms of the Creative Commons Attribution License, which permits unrestricted use, distribution, and reproduction in any medium, provided the original author and source are credited. Hosting by Science Repository.DOI: 10.31487/j.SCR.2020.02.02
Author Info
Hiang Jin Tan Lee Lip Seng Ram Pratab Jeyaratnam Tan Hui Min Grace
Corresponding Author
Tan Hui Min GraceDepartment of General Surgery, Changi General Hospital, Singapore
Figures & Tables







Paravertebral soft tissue densities are seen along thoracic spine with associated minimal tracer uptake, representing foci of extramedullary haematopoiesis (left).
References
- Andrea Mancuso (2010) Hepatocellular carcinoma in thalassemia: A critical review. World J Hepatol 2: 171-174. [Crossref]
- Mancuso A, Sciarrino E, Renda MC, Maggio A (2006) A prospective study of hepatocellular carcinoma incidence in thalassemia. Hemoglobin 30: 119-124. [Crossref]
- Lwakatare F, Hayashida Y, Yamashita Y (2003) MR imaging of hepatocellular carcinoma arising in genetic hemochromatosis. Magn Reson Med Sci 2: 57-59. [Crossref]
- Boal Carvalho P, Pereira E (2015) Imagiological Diagnosis of Gastrointestinal Diseases - Diagnostic Criteria of Hepatocellular Carcinoma. GE Port J Gastroenterol 22: 153-160. [Crossref]
- Choi JY, Lee JM, Sirlin CB (2014) CT and MR imaging diagnosis and staging of hepatocellular carcinoma: part I. Development, growth, and spread: key pathologic and imaging aspects. Radiology 272: 635-654. [Crossref]
- Lee YJ, Lee JM, Lee JS, Lee HY, Park BH et al. (2015) Hepatocellular carcinoma: diagnostic performance of multidetector CT and MR imaging-a systematic review and meta-analysis. Radiology 275: 97-109. [Crossref]
- Heimbach JK, Kulik LM, Finn RS, Sirlin CB, Abecassis MM et al. (2018) AASLD guidelines for the treatment of hepatocellular carcinoma. Hepatology 67: 358-380. [Crossref]
- Bolondi L, Gaiani S, Celli N, Golfieri R, Grigioni WF et al. (2005) Characterization of small nodules in cirrhosis by assessment of vascularity: The problem of hypovascular hepatocellular carcinoma. Hepatology 42: 27-34. [Crossref]
- Roberts LR, Sirlin CB, Zaiem F, Almasri J, Prokop LJ et al. (2018) Imaging for the diagnosis of hepatocellular carcinoma: a systematic review and meta-analysis. Hepatalogy 67: 401-421. [Crossref]
- Forner A, Vilana R, Ayuso C, Bianchi L, Sole M et al. (2008) Diagnosis of hepatic nodules 20 mm or smaller in cirrhosis: Prospective validation of the noninvasive diagnostic criteria for hepatocellular carcinoma. Hepatology 47: 97-104. [Crossref]
