The Influence of Altering the Morphology of the First Mandibular Molar on Functional Mandibular Movements: A Pilot Study
A B S T R A C T
Purpose: Altering the tooth morphology is a frequent clinical situation and it requires replacing the lost tooth substance by direct/indirect treatment methods. The purpose of this study is to identify the optimal study group size to quantify the extent to which the change in dental morphology influences the amplitude and path of the mandibular movements at the condylar and dental level.
Materials and Methods: The study was performed on 10 young participants, without associated joint pathology, with healthy complete dentition. The Zebris JMA System (Zebris Medical GmbH, Germany) condylograph were used. The condylar and occlusal parameters were registered, before and after the composite occlusal modification on the right first mandibular molar was made and data were synthesized as Excel Data. The SPSS2 software was used for statistical analyses, a descriptive analysis of the pair differences was performed, Kolmogorov-Smirnova and Shapiro-Wilk tests were applied to verify the normality, paired sample test for 0,05 level of significance and 80% power was applied to determine the proper sample size.
Conclusion: The results show a change in movement parameters at both condylar and dental level: the sagittal motion of the condyle on both sides tends to have a more vertical trajectory, the incisal guidance in protrusion and the guidance in the lateral movement on the modified part are steeper, lateral movement guidance on the other side is shallower, a tendency of retrusion is noted in both condyles. Respecting original dental morphology is essential for functional harmonious integration of the restoration.
Keywords
Tooth morphology, condylography, functional movement, condylar track
Introduction
The relationship between temporo-mandibular disorders (TMD) and occlusion is an intensely debated issue in dentistry, the appropriate adapting capacity being able to compensate possible alterations in function. The mandibular dynamics is composed of three-dimensional movements, each point on the mandible having its own trajectory, functionally correlated with the incision, food shredding, swallowing, speech, etc. It is accepted nowadays that the mandibular movements are influenced by the temporo-mandibular joints, muscles and teeth morphology. The incisors and canines participate in guiding the eccentric movements of the mandible (protrusion and lateral movements), whereas the lateral sector, the molars and the premolars, have a decisive role in establishing the centric positions. Altering the tooth morphology is frequent, through multiple mechanisms, and it requires clinically replacing the lost tooth substance by direct/indirect treatment methods. The decision of making an exact or remodeled (for esthetic reasons, or to correct some modified functions) morphology of the restoration should be made considering the biological system that is already adapted during its growth.
By studying the literature from the last ten years, we have identified some papers that could not establish a solid correlation between altering the occlusal morphology and the joint symptom occurrence [1-4]. Also, there were other papers that have indicated different factors asociated with morphological and functional modification of the temporo-mandibular joint, such as: dental interferences during functional movements, the distance between centric relation and maximum intercuspation greater than 2mm, asymmetrical contacts, maloclussions, bruxism, class II or class III Angle, overbite and overjet greater than 4mm, crossbite, anterior and posterior openbite, premature contacts on the non-working side, the absence of posterior teeth [5-25]. Considering all of this, the purpose of this study is to identify the optimal study group size to quantify the extent to which the change in dental morphology influences the amplitude and path of the mandibular movements at the condylar and dental level.
Materials and Methods
For this study we have selected 10 participants, 3 boys and 7 girls, with ages between 24-25 years, out of 54 students from the Faculty of Dental Medicine, “Carol Davila” University of Medicine and Pharmacy, Bucharest, Romania. Selection criteria for the participants at this study were: clinically healthy, no edentations, no joint pathology. Direct restaurations, edentation, joint disorders, prosthetic restaurations and general pathology were considered exclusion criteria. The students included in this study had signed an agreement to participate.
The study consisted of three steps:
i. During the first meeting, a thorough medical history was completed, followed by an accurate dento-maxillary examination to establish the criteria of selection or exclusion.
ii. In the second meeting the initial occlusal analysis was made, including the mandibular movements; the virtual facebow, the articulator function and the function analysis modules from the Zebris JMA System (Zebris Medical GmbH, Germany) condylograph were used. A paraocclusal fork was adapted to the inferior arch of the patient and it was attached to the facial part of the inferior teeth with bite registration silicone. After complete setting, protrusion and lateral movements were verified and any interference was removed. After that, the face bow was adjusted to the patient head, by stabilizing it on the nasal saddle with the nasal part and connecting the magnetic sensor to the bow (Figure 1). The condyle position (left and right), the infraorbital point and the incisal point are adjusted by the two pointers applied on the second magnetic sensor. This sensor is subsequently attached to the paraocclusal fork. The whole movement protocol from the three prior modules is registered, including protrusive, lateral and opening movements (Figure 2). The articular recordings are made related to the axis-orbitale reference plane.
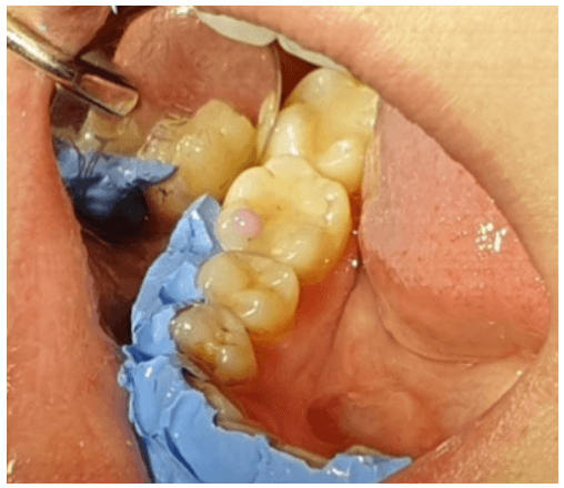
iii. In the third session, a layer of purple coloured flowable composite was applied on the internal slope of the mesio-buccal cusp of the tooth 4.6, creating an interference on the non-working side in the protrusion movement and also one on the non-working side in the lateral movement (Figure 3). The paraocclusal fork is reattached. The steps from the condilographic analysis followed the same protocol as the previous phase. In the end, the flowable composite was removed with red and yellow diamond stones, and the surface was polished with rubber points and tooth paste with 10 microns particles under magnification.
The data resulted from the records generated by the condylograph were inserted in an Excel file and statistically processed using SPSS2 software.
Figure 1: Face bow adjusted on the patient’s head.
Figure 2: Movement protocol registration.
Figure 3: Interference on the non-working side in the protrusion movement and in the lateral movement.
Results
In the statistical analysis, the Kolmogorov-Smirnova and Shapiro-Wilk tests were applied to verify the normality of the differences between the pairs of recordings, before and after the interference was made (Table 1). For the pairs where the distribution was normal, the mean value and standard deviation were determined and the Student T test was applied. No significant differences were registered (Table 2). Also, for these pairs a descriptive analysis of the differences was made.
Table 1: Tests of normality.
SCI_LEFT: the articular slope inclination on the left side, SCI_RIGHT: the articular slope inclination on the right side, BEN_L: the Bennett
Angle on the left side, BEN_R: the Bennett Angle on the right side, SFT: the
sagittal inclination (tilt) of the incisal table, FTL: the frontal left
inclination(tilt) of the incisal table, FTR: the frontal right
inclination(tilt) of the incisal table, RL: the extent of the retrusion
movement on the left side, RR: the extent of the retrusion movement on the
right side, SAL: the lateral shift angle of the working
condyle on the left side, SAR: the lateral shift angle of the working
condyle on the right side, COL: the extent of the condylar displacement in the
opening of the mouth on the left side, COR: the extent of the condylar
displacement in the opening of the mouth on the right side, CRL: the extent of
the condylar displacement in the retrusion movement on the left side, CRR: the
extent of the condylar displacement in the retrusion movement on the right
side, ILL: the amplitude of the incisal point motion in the lateral left
movement, ILR: the amplitude of the incisal point motion in the lateral right
movement, IO: the amplitude of the incisal point motion in the opening of the
mouth.
Table 2: Paired samples statistics.
Mean:
the average values, N: the number of values, Std. Deviation: the deviation,
SCI_LEFT1: the articular slope inclination on the left
side before creating the interference, SCI_LEFT2: the articular slope inclination on the left side after creating the
interference, SCI_RIGHT1:
the articular slope inclination on the right side before creating the
interference, SCI_RIGHT2:
the articular slope inclination on the right side after creating the
interference, FTL1: the frontal left inclination (tilt) of the incisal table
before creating the interference, FTL2: the frontal left inclination (tilt) of
the incisal table after creating the interference, FTR1: the frontal right
inclination (tilt) of the incisal table before creating the interference, FTR2:
the frontal right inclination (tilt) of the incisal table after creating the
interference, RR1: the extent of the retrusion movement on the right side
before creating the interference, RR2: the extent of the retrusion movement on
the right side after creating the interference,
SAL1: the lateral shift angle of the working condyle (left) before
creating the interference, SAL2: the lateral shift angle of the working condyle
(left) after creating the interference, SAR1: the lateral shift angle of the
working condyle (right) before creating the interference, SAR2: the lateral
shift angle of the working condyle (right) after creating the interference,
ILL1: the amplitude of the incisal point motion in the lateral movement on the
left side before creating the interference, ILL2: the amplitude of the incisal
point motion in the lateral movement on the left side after creating the
interference, IO1: the amplitude of the incisal point motion in the opening of
the mouth before creating the interference, IO2: the amplitude of the incisal
point motion in the opening of the mouth after creating the interference.
I The Antero-Posterior Condylar Track (Sagital Condylar Inclination) on the Left and on the Right Side from the Reference Plane
There is a 5 degrees difference on the left side and 6 degrees on the right side, between the mean values, before and after altering the dental morphology. The interference determines a tendency to a more vertical condylar movement in the sagittal plane (Figure 4).
Figure 4: Sagittal condylar inclination right and left side- before and after interference.
II The Incisal Table Tilt
Sagittal tilt of the incisal table increases by 3 degrees after creating the interference, therefore the morphology of the palatal face of the superior frontal teeth will be steeper. Frontal tilt of the incisal table on the left side decreases by 13 degrees after the interference appears, so the guidance in lateral movement on the left side becomes shallower. Frontal tilt of the incisal table on the right side increases by 8 degrees, so the guidance in lateral movement on the right side becomes steeper after the interference on the working side appears (Figure 5).
Figure 5: Sagittal and frontal incisal table inclination -before and after interference.
III The Lateral Shift Angle on the Working Condyle
The negative values demonstrate that the working condyle track in the lateral left movement is mainly descendent; the slope increases with 0,4 degrees after making the interference on the molar. The results indicate that the working condyle track in the lateral right movement is mainly ascending; the steepness increases with 30 degrees after making the interference on the molar (Figure 6).
Figure 6: Shift angle, right and left side- before and after interference.
Figure 7: Retrusion movement registration, right and left side- before and after interference.
IV The Condylar Retrusion Movement
The left condyle retrusion increases by 0,2mm, and the right condyle retrusion decreases by 0,1mm after the interference is created (Figure 7).
V The Amplitude of the Incisal Point Motion in the Opening of the Mouth and in the Lateral Movement
The amplitude of the incisal point motion in lateral left movement increases a bit after the interference occurs, whereas in lateral right movement increase in average by 1,3mm (Figure 8). The amplitude of the incisal point motion during the opening increases by 4mm after the premature contact. When applying the student T tests, no significant difference is observed, due to the limited number of recordings. Based on these results, the optimal sample size was determined to obtain statistical significance (Table 3).
Table 3: Paired sample test.
|
|
Mean |
Std. Deviation |
The number of pairs necessary for obtaining relevant
differences for 0,05 level of significance and 80% power of test |
||
|
Pair 1 |
SCI_LEFT1-SCI LEFT2 |
5.52222 |
15.40023 |
63 |
|
|
Pair 2 |
SCI_RIGHT1-SCI_RIGHT2 |
4.94444 |
14.08245 |
66 |
|
|
Pair 3 |
FTL1 - FTL2 |
13.50000 |
34.05921 |
52 |
|
|
Pair 4 |
FTR1 - FTR2 |
-8.30000 |
46.84280 |
252 |
|
|
Pair 5 |
RR1 - RR2 |
.10000 |
.92060 |
668 |
|
|
Pair 6 |
SAL1 - SAL2 |
.32222 |
20.01536 |
30228 |
|
|
Pair 7 |
SAR1 - SAR2 |
-29.64444 |
52.28265 |
27 |
|
|
Pair 8 |
ILL1 - ILL2 |
-.21111 |
2.13509 |
805 |
|
|
Pair 9 |
IO1 - IO2 |
3.86667 |
6.51690 |
25 |
|
Mean: the average values, Std.
Deviation: the deviation, SCI_LEFT1: the articular slope inclination on the left
side before creating the interference, SCI_LEFT2: the articular slope inclination on the left
side after creating the interference, SCI_RIGHT1: the articular slope
inclination on the right side before creating the interference, SCI_RIGHT2: the articular
slope inclination on the right side after creating the interference, FTL1: the
frontal left inclination (tilt) of the incisal table before creating the
interference, FTL2: the frontal left inclination (tilt) of the incisal table
after creating the interference, FTR1: the frontal right inclination (tilt) of
the incisal table before creating the interference, FTR2: the frontal right
inclination (tilt) of the incisal table after creating the interference, RR1:
the extent of the retrusion movement on the right side before creating the
interference, RR2: the extent of the retrusion movement on the right side after
creating the interference, SAL1: the
lateral shift angle of the working condyle (left) before creating the
interference, SAL2: the lateral shift angle of the working condyle (left) after
creating the interference, SAR1: the lateral shift angle of the working condyle
(right) before creating the interference, SAR2: the lateral shift angle of the
working condyle (right) after creating the interference, ILL1: the amplitude of
the incisal point motion in the lateral movement on the left side before
creating the interference, ILL2: the amplitude of the incisal point motion in
the lateral movement on the left side after creating the interference, IO1: the
amplitude of the incisal point motion in the opening of the mouth before
creating the interference, IO2: the amplitude of the incisal point motion in
the opening of the mouth after creating the interference.
Figure 8: Amplitude of the incisal point motion before and after the interference.
Discussion
Natural tooth morphology is often changed during clinical dental practice with little knowledge of the effects determined on the function of the temporomandibular joint. After doing some research in the literature we could identify just a few similar studies which have analysed the implication of a prematurity artificially created and their methodology was very different [26]. In our study, the morphology modification of the first inferior molar 46, more precise, the internal slope of the mesio-buccal cusp has determined the following tendencies in the condylar tracks and in the inferior incisors motion:
i. The sagittal motion of the condyle on both sides tends to have a more vertical trajectory, the left condyle displacement is wider by 4mm and the right one is limited by 2mm in the opening of the mouth.
ii. The sagittal tilt of the incisal table goes up by 3 degrees, the incisal guidance in protrusion is steeper, the frontal left tilt decreases by 13 degrees after the premature contact occurs, the guidance in the lateral left movement is shallower, the frontal right tilt of the incisal table increases by 8 degrees after the interference, the guidance in the lateral right movement is steeper after the premature contact.
iii. The tendency to retrusion is intensified on both sides.
iv. The amplitude of the incisal point displacement in the opening of the mouth increases by 4mm, in lateral left movement expands a bit, in lateral right movement increases by 1,3mm after the premature contact appears.
v. The lateral shift angle of the working condyle on the left side reveals a predominant descendent steeper motion, whereas the working condyle on the lateral right side describes a sharper angle also, by 30 degrees after the interference occurs with a main ascendent trajectory.
All of the movement parameters have been modified on both sides due to the prematurity on the lateral sector. The results are consistent with those that have found associations with interferences and premature contacts on the non-working side [5-10, 14, 19, 20, 24].
Conclusion
Based on the comparative descriptive analysis of the obtained data, it was observed that by modifying the morphology of the first inferior molar and creating an interference, the movement parameters have presented variations concerning the extent and the direction of the displacement, at both dental and condylar levels. Respecting the initial morphology and adapting it harmonious to the individual functional parameters is a good premise for keeping the balance between the parts of the dento-maxillary system.
Article Info
Article Type
Research ArticlePublication history
Received: Fri 26, Mar 2021Accepted: Sat 10, Apr 2021
Published: Fri 23, Apr 2021
Copyright
© 2023 Luminita Oancea. This is an open-access article distributed under the terms of the Creative Commons Attribution License, which permits unrestricted use, distribution, and reproduction in any medium, provided the original author and source are credited. Hosting by Science Repository.DOI: 10.31487/j.DOBCR.2021.02.01
Author Info
Ioana Monica Vâlsan Luminita Oancea Mihaela Rodica Păuna Catalin Gagiu Alexandru Eugen Petre
Corresponding Author
Luminita OanceaLecturer, Occlusion and Fixed Prosthodontics Department, Faculty of Dental Medicine, “Carol Davila” University of Medicine and Pharmacy, Bucharest, Romania
Figures & Tables
Table 1: Tests of normality.
SCI_LEFT: the articular slope inclination on the left side, SCI_RIGHT: the articular slope inclination on the right side, BEN_L: the Bennett
Angle on the left side, BEN_R: the Bennett Angle on the right side, SFT: the
sagittal inclination (tilt) of the incisal table, FTL: the frontal left
inclination(tilt) of the incisal table, FTR: the frontal right
inclination(tilt) of the incisal table, RL: the extent of the retrusion
movement on the left side, RR: the extent of the retrusion movement on the
right side, SAL: the lateral shift angle of the working
condyle on the left side, SAR: the lateral shift angle of the working
condyle on the right side, COL: the extent of the condylar displacement in the
opening of the mouth on the left side, COR: the extent of the condylar
displacement in the opening of the mouth on the right side, CRL: the extent of
the condylar displacement in the retrusion movement on the left side, CRR: the
extent of the condylar displacement in the retrusion movement on the right
side, ILL: the amplitude of the incisal point motion in the lateral left
movement, ILR: the amplitude of the incisal point motion in the lateral right
movement, IO: the amplitude of the incisal point motion in the opening of the
mouth.
Table 2: Paired samples statistics.
Mean:
the average values, N: the number of values, Std. Deviation: the deviation,
SCI_LEFT1: the articular slope inclination on the left
side before creating the interference, SCI_LEFT2: the articular slope inclination on the left side after creating the
interference, SCI_RIGHT1:
the articular slope inclination on the right side before creating the
interference, SCI_RIGHT2:
the articular slope inclination on the right side after creating the
interference, FTL1: the frontal left inclination (tilt) of the incisal table
before creating the interference, FTL2: the frontal left inclination (tilt) of
the incisal table after creating the interference, FTR1: the frontal right
inclination (tilt) of the incisal table before creating the interference, FTR2:
the frontal right inclination (tilt) of the incisal table after creating the
interference, RR1: the extent of the retrusion movement on the right side
before creating the interference, RR2: the extent of the retrusion movement on
the right side after creating the interference,
SAL1: the lateral shift angle of the working condyle (left) before
creating the interference, SAL2: the lateral shift angle of the working condyle
(left) after creating the interference, SAR1: the lateral shift angle of the
working condyle (right) before creating the interference, SAR2: the lateral
shift angle of the working condyle (right) after creating the interference,
ILL1: the amplitude of the incisal point motion in the lateral movement on the
left side before creating the interference, ILL2: the amplitude of the incisal
point motion in the lateral movement on the left side after creating the
interference, IO1: the amplitude of the incisal point motion in the opening of
the mouth before creating the interference, IO2: the amplitude of the incisal
point motion in the opening of the mouth after creating the interference.
Table 3: Paired sample test.
|
|
Mean |
Std. Deviation |
The number of pairs necessary for obtaining relevant
differences for 0,05 level of significance and 80% power of test |
||
|
Pair 1 |
SCI_LEFT1-SCI LEFT2 |
5.52222 |
15.40023 |
63 |
|
|
Pair 2 |
SCI_RIGHT1-SCI_RIGHT2 |
4.94444 |
14.08245 |
66 |
|
|
Pair 3 |
FTL1 - FTL2 |
13.50000 |
34.05921 |
52 |
|
|
Pair 4 |
FTR1 - FTR2 |
-8.30000 |
46.84280 |
252 |
|
|
Pair 5 |
RR1 - RR2 |
.10000 |
.92060 |
668 |
|
|
Pair 6 |
SAL1 - SAL2 |
.32222 |
20.01536 |
30228 |
|
|
Pair 7 |
SAR1 - SAR2 |
-29.64444 |
52.28265 |
27 |
|
|
Pair 8 |
ILL1 - ILL2 |
-.21111 |
2.13509 |
805 |
|
|
Pair 9 |
IO1 - IO2 |
3.86667 |
6.51690 |
25 |
|
Mean: the average values, Std.
Deviation: the deviation, SCI_LEFT1: the articular slope inclination on the left
side before creating the interference, SCI_LEFT2: the articular slope inclination on the left
side after creating the interference, SCI_RIGHT1: the articular slope
inclination on the right side before creating the interference, SCI_RIGHT2: the articular
slope inclination on the right side after creating the interference, FTL1: the
frontal left inclination (tilt) of the incisal table before creating the
interference, FTL2: the frontal left inclination (tilt) of the incisal table
after creating the interference, FTR1: the frontal right inclination (tilt) of
the incisal table before creating the interference, FTR2: the frontal right
inclination (tilt) of the incisal table after creating the interference, RR1:
the extent of the retrusion movement on the right side before creating the
interference, RR2: the extent of the retrusion movement on the right side after
creating the interference, SAL1: the
lateral shift angle of the working condyle (left) before creating the
interference, SAL2: the lateral shift angle of the working condyle (left) after
creating the interference, SAR1: the lateral shift angle of the working condyle
(right) before creating the interference, SAR2: the lateral shift angle of the
working condyle (right) after creating the interference, ILL1: the amplitude of
the incisal point motion in the lateral movement on the left side before
creating the interference, ILL2: the amplitude of the incisal point motion in
the lateral movement on the left side after creating the interference, IO1: the
amplitude of the incisal point motion in the opening of the mouth before
creating the interference, IO2: the amplitude of the incisal point motion in
the opening of the mouth after creating the interference.








References
1.
Hattori Y, Satoh
C, Seki S, Watanabe Y, Orgino Y et al. (2003) Occlusal and TMJ Loads in
Subjects with Experimentally Shortened Dental Arches. J Dent Res 82:
532-536. [Crossref]
2.
John MT, Frank H,
Lobbezoo F, Drangsholt M, Dette KE (2002) No association between incisal tooth
wear and temporomandibular disorders. J Prosthet Dent 87: 197-203. [Crossref]
3.
Kahn J, Tallents
RH, Katzberg RW, Ross ME, Murphy WC (1999) Prevalence of dental occlusal
variables and intraarticular temporomandibular disorders: Molar relationship,
lateral guidance, and nonworking side contacts. J Prosthet Dent 82:
410-415. [Crossref]
4.
Robinson de Senna
B, Marques LS, Franca JP, Ramos-Jorge ML (2009) Condyle-disk-fossa position and
relationship to clinical signs and symptoms of temporomandibular disorders in
women. Oral Surg Oral Med Oral Pathol Oral Radiol Endod 108: e117-e124.
[Crossref]
5.
Manfredini D,
Perinetti G, Guarda-Nardini L (2014) Dental malocclusion is not related tot
temporomandibular joint clicking. Angle Orthod 84: 310-315. [Crossref]
6.
Bell Y, Niemi P,
Jamsa T, Kymala M, Alanen P (2006) Subjective reactions to intervention with
artificial interferences in subjects with and without a history of
temporomanibular disroders. Acta Odontol Scand 64: 59-63. [Crossref]
7.
Manfredini D,
Stellini E, Marchese-Ragona R, Guarda-Nardini L (2014) Are occlusal features
associated with different temporomandibular disorder diagnoses in bruxers? Cranio
32: 283-288. [Crossref]
8.
Pahkala RH, Laine
Alava MT (2002) Do early signs of orofacial dysfunctions and occlusal variables
predict development od TMD in adolescence? J Oral Rehabil 29: 737-743. [Crossref]
9.
Pahkala R,
Qvarnstrom M (2004) Cam temporomandibular dysfunction signs be predicted by
early morphological or functional variables? Eur J Orthod 26: 367-373. [Crossref]
10. Manfredini D, Perinetti G, Stellini E, Leonardo B D,
Guarda-Nardini L (2015) Prevalence of static and dynamic dental malocclusion
features in subgroups of temporomandibular disorder patients. Quintessence
Int 46: 341-349. [Crossref]
11. Wand C, Yin X (2012) Occlusal risk factors associated
with temporomandibular disorders in young adults with normal occlusions. Oral
Surg Oral Med Oral Pathol Oral Radiol 114: 419-423. [Crossref]
12. Westling L (1995) Occlusal interferences in retruded
contact position and temporomandibular joint sounds. J Oral Rehabil 22:
601-606. [Crossref]
13. Ciancaglini R, Gherlone EF, Radaelli G (2003)
Unilateral temporomandibular disorder and asymmetry of occlusal contacts. J
Prosthet Dent 89: 180-185. [Crossref]
14. Fujii T (2003) The relationship between the occlusal
interference side and the symptomatic side in temporomandibular disorders. J
Oral Rehabil 30: 295-300. [Crossref]
15. Wadhwa L, Utreja A, Tewari A (1993) A study of
clinical signs and symptoms of temporomandibular dysfunction in subjects with
normal occlusion, untreated, and treated malocclusions. Am J Orthod Dentofac
Orthop 103: 54-61. [Crossref]
16. Radke JC, Kull RS, Sethi MS (2014) Chewing movements
altered in the presence of temporomandibular joint internal derangements. Cranio
32: 187-192. [Crossref]
17. Mundt T, Mack F, Schwann C, Bernhardt O, Kocher T et
al. (2005) Gender Differences in Associations Between Occlusal Support and
Signs of Temporomandibular Disorders: Results of the Population-Based Study of
Health in Pomerania. J Prosthodont 18: 232-239. [Crossref]
18. Manfredini D, Vano M, Peretta R, Guarda-Nardini L
(2014) Jaw clenching effects in relation to two extreme occlusal features:
patterns of diagnoses in a TMD patient population. Cranio 32: 45-50. [Crossref]
19. AL Hadi LA (1993) Prevalence of temporomandibular
disorders in relation to some occlusal parameters. J Prosthet Dent 70:
345-350. [Crossref]
20. Roberts CA, Tallents RH, Katzberg RW,
Sanchez-Woodworth RE, Espeland MA et al. (1987) Comparison of internal
derangements of the TMJ with occlusal findings. Oral Surg Oral Med Pathol
63: 645-650. [Crossref]
21. Riolo M L, Brandt D, TenHave T R (1987) Associations
between occlusal characteristics and signs and symptoms of TMJ dysfunction in
children and young adults. Am J Orthod Dentofac Orthop 92: 467-477. [Crossref]
22. Celic R, Jerolimov V (2002) Association of horizontal
and vertical overlap with prevalence of temporomandibular disorders. J Oral
Rehabil 29: 588-593. [Crossref]
23. Kahn J, Tallents R H, Katzberg R W, Moss M E, Murphy W
C (1998) Association between dental occlusal variables and intraarticular
temporomandibular joint disorders: Horizontal and vertical overlap. J
Prosthet Dent 79: 658-662. [Crossref]
24. Taskaya-Yilmaz N, Ogutcen-Toller M, Sarac Y S (20004)
Relationship between the TMJ disc and condyle position on MRI and occlusal
contacts on latera excursion in TMD patiens. J Oral Rehabil 31: 754-758.
[Crossref]
25. Tallents RH, Macher DJ, Kyrkanides S, Katzberg RW,
Moss ME (2002) Prevalence of missing posterior teeth and intraarticular
temporomandibular disorders. J Prosth dent 87: 45-50. [Crossref]
26. Huang BY, Whittle T, Peck CC, Murray GM (2006)
Ipsilateral interferences and working-side condylar movements. Arch Oral Bio
51: 206-214. [Crossref]
