Rectal Ewing’s Sarcoma: A Case Report of An Unusual Extra-Skeletal Tumor Presentation
A B S T R A C T
Introduction: Extraskeletal Ewing’s sarcoma (EES) is a rare malignant soft tissue tumor. Those aggressive mesenchymal tumors are characterized by genetic alterations of the Ewing sarcoma gene (EWS) on chromosome 22. Signs and symptoms are usually non-specific. The clinical diagnosis of EES is challenging.
Case Presentation: A 31-year-old female patient presented to our hospital with rectal bleeding. Physical examination revealed a painful and erythematous bleeding rectal mass. A pelvic MRI revealed a right-sided well-circumscribed perianal mass measuring 6.8 × 6.0 cm. Surgical excision of the rectal mass was subsequently performed. The resected specimen, including the rectal mass with a pedicle from the posterior rectal wall was sent for histopathological examination. The postoperative period was uneventful. Histopathology examination was suggestive of EES of the rectum.
Clinical Discussion: EES is an unusual entity of Ewing's Sarcoma Family of Tumors, which are characterized by pathognomonic translocations. The clinical features of EES include localized pain and/or swelling. Diagnosis of EES relies on histopathology and immunohistochemistry analysis. Imaging modalities such as CT, MRI, and PET/CT are crucial to evaluate EES metastasis and assess local tumor resectability.
Conclusion: Due to the rare entity of EES of the rectum, we report the case of a 31-year-old female with rectal bleeding, found to be rectal Ewing’s sarcoma.
Keywords
Case report, ewing sarcoma family of tumors, extra-skeletal, rectal bleeding, surgery
Introduction
Ewing sarcoma is a rare type of tumor that belongs to the Ewing's Sarcoma Family of Tumors (ESFT) [1]. It is the second most common primitive bone cancer in children and adolescents [2-4]. Approximately 95% of patients with these mesenchymal neoplasms have chromosomal translocations that lead to gene fusion. Historically James Ewing first described diffuse hemangioendothelioma of bone in 1921 [5-7]. EES accounts for 20-30% of all ESFT that was first described by Tefft et al. in 1969 [1, 2, 5]. Here we highlight the first case of Ewing sarcoma of the rectum in our region and the second case worldwide [8].
Case Presentation
A 31-year-old female patient with a background history of hemorrhoids, who presented with a one-day history of bright red rectal bleeding. The bleeding was large in amount and associated with severe anal and left lower quadrant pain, nausea, diarrhea, and dizziness. There was no history of weight change, anorexia, fatigue, or night sweats. The patient reported a surgical history of cesarean section, laparoscopic sleeve gastrectomy, and abdominoplasty. Her family history was positive for oral cancer in her brother. Clinical examination revealed a large painful, tender, and erythematous bleeding rectal mass. Laboratory investigations revealed anemia (Table 1). Given these findings, the patient was diagnosed with a bleeding rectal mass (Figure 1).
Figure 1: Image of the rectal mass on physical examination.
Pelvic MRI using the enhanced multi-planar and multi-sequence images of the rectum revealed a huge right-sided well-circumscribed protruding perianal mass lesion with the following findings (Figure 2):
• A well-circumscribed-protruding- heterogenous hyperintense perianal mass on the right-side measuring about 6.8 × 6.0 cm, originating from the external sphincter of the anal canal.
• Congested edematous perirectal fat plane
• No ascites and no evidence of enlarged pelvic or external inguinal lymphadenopathy.
Figure 2: T2-weighted MRI of the pelvis showing heterogenous hyperintense perianal mass. Arrows point to the tumor.
We then proceeded with a rectal examination under anaesthesia, revealing a friable pedunculated mass originating from the rectal mucosa. Surgical excision of the pedunculated rectal mass with its pedicle from the posterior rectal wall was performed and the specimen was sent for histopathological analysis. The pedunculated base was removed by ligasure device in total with the mass. The specimen’s histopathology outcome revealed a rectal tumor consisting of an irregular firm mass measuring 6.6 × 5.7 × 3 cm with a lacerated and necrotic hemorrhagic outer surface (Figure 3).
Figure 3: The pathological resected specimen.
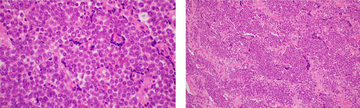
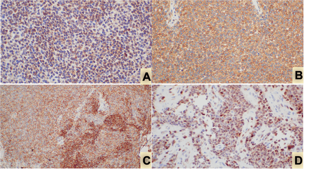
The microscopic description of the rectal mass revealed unremarkable rectal mucosa with the underlying mucosa infiltrated with well-circumscribed undifferentiated uniform small round cells with round nuclei, finely stippled chromatin in a sheet-like growth pattern with islands separated by dense fibrous tissue. In addition, focal areas of necrosis and scattered mitotic figures were noted. The tumor cells were immunopositive for Vimentin, CD99, Cyclin D1, and Bc12 and were immunonegative for CD45 (LCA), PanCK, and Desmin. The ki67 proliferation index was about 20%. Mitosis was up to 15/10 per high power field. Finally, the excised rectal mass pathology was compatible with the diagnosis of Ewing sarcoma (Figures 4 & 5). The postoperative period was uneventful and the patient was discharged on the second post-operative day.
Figure 4: Small round blue cell tumor.
Figure 5: A) bcl2, B) vimentin, C) CD99, D) Cyclin1.
The patient was referred to a tertiary cancer care center where she received her adjuvant chemotherapy, to be followed by radiotherapy sessions. A PET-CT scan was performed prior to chemotherapy, showing no signs of distant metastasis.
Discussion
Extraskeletal Ewing sarcoma is a rare entity, accounting for only 1.1% of malignant soft tissue tumors. ES are aggressive mesenchymal tumors induced by genetic abnormalities in bone and soft tissue cells [9, 10]. Extraskeletal Ewing's sarcoma can involve any soft tissue located in the body [1, 3]. Few cases of EES were reported in the literature [1, 2, 4, 11]. It was first identified by Tefft et al. in 1969 as a small round-cell tumor [5, 12]. Skeletal and Extraskeletal Ewing’s sarcoma share similar morphological characteristics [12]. Although there is a male predominance in bony Ewing sarcoma, no gender preference was noted among those with EES [3].
EES belongs to the Ewing Sarcoma Family of Tumors (EFT), characterized by genetic alterations in the form of nonrandom translocation of the Ewing sarcoma gene (EWS) on chromosome 22 [10, 13, 14]. This leads to the ongoing triggering of the membrane IGF-1 receptor that manages tumor proliferation. These tumors are characterized by their aggressive behaviour and high recurrence rate [14]. The clinical manifestations of EES are non-specific such as localized pain and/or swelling [4]. In our case, the patient presented with rectal bleeding associated with severe anal and left lower quadrant pain, nausea, diarrhea, and dizziness.
Because skeletal and non-skeletal ES share common characteristics, the clinical diagnosis of EES is challenging [3]. The diagnostic evaluation of EES is based on the histology of the surgically resected specimen so, the actual diagnosis was achieved by rectal mass histopathology [14]. In the presented case, the histopathology analysis ws key to diagnosis and showed that the tumor cells were immunopositive for Vimentin, CD99, Cyclin D1, and Bc12 and were immunonegative for CD45 (LCA), PanCK, and Desmin.
Imaging modalities such as CT, MRI, and PET/CT aid in evaluating metastatic EES and assessing local tumor resectability [9]. In the current case, pelvic MRI revealed a well-circumscribed-protruding heterogenous hyperintense perianal mass, originating from the external sphincter of the anal canal. The localized nature of the tumor found on clinical exam and localized MRI findings further assisted in the decision to perform a transrectal excision of the mass.
EES is treated with multi-modality therapy, including surgical excision, chemotherapy, and radiotherapy [1, 2]. Surgical resection is indicated in combination with adjuvant local radiation therapy for the operative and/or localized tumors [1, 9, 14]. For large localized tumors, neoadjuvant chemotherapy is recommended before surgery or radiation therapy to reduce tumor size [9, 10, 14-16]. In our case, the patient was treated with resection of the primary tumor with the aim to control the bleeding source and achieve an accurate diagnosis through histopathology. Due to the presenting nature of the tumor and the positive resection margin and the high recurrence rate of this tumor, further adjuvant therapy was administered in the form of chemo and radiotherapy to achieve local control of the tumor. It is also essential to involve a multi-disciplinary team of physicians when dealing with such rare tumors in order to decide on optimal therapy. It is also important to follow up with the patient closely as this tumor is associated with a high recurrence rate which may warrant further intervention.
Conclusion
Due to its rarity, EES can be histologically confused with other tumor types such as lymphoma, melanoma, and carcinoma. Our case emphasizes the diagnostic and surgical challenges of EES because of the patient’s presentation which can be confused with other tumors and etiologies. In this situation, the definitive diagnosis relies on surgical resection and histopathological studies of the resected tissue specimens. EES treatment is multimodality with particular emphasis on long term follow up due to the aggressive nature of such tumors.
Conflicts of Interest
None.
Funding
None.
Ethical Approval
Not applicable.
Consent
Written informed consent was obtained from the patient to publish this case report and accompanying images.
Author Contribution
Athary Saleem: literature review, paper writing, and editing; Hadeel Al Muzayen: paper writing and editing; Mohammed Alshamali: paper editing; Emad Fahim: performed surgery, paper editing, and supervision.; Sami; Aldaoud: Histopathology slides preparation and edition.; Nawaf AlKhalifah: performed surgery, paper editing, and supervision.; Khaleel Mohammad: paper editing, supervision, and final approval.
Guarantor
Athary Saleem, B.Med.Sc., M.D., General surgery department, Al-Adan Hospital, Kuwait.
Research Registration
Not applicable.
Provenance and Peer Review
Not commissioned, externally peer-reviewed.
Article Info
Article Type
Case ReportPublication history
Received: Wed 29, Mar 2023Accepted: Tue 18, Apr 2023
Published: Mon 01, May 2023
Copyright
© 2023 Athary Saleem. This is an open-access article distributed under the terms of the Creative Commons Attribution License, which permits unrestricted use, distribution, and reproduction in any medium, provided the original author and source are credited. Hosting by Science Repository.DOI: 10.31487/j.AJOS.2023.01.01
Author Info
Athary Saleem Hadeel Al Muzayen Mohammed Alshamali Emad Fahim Sami Aldaoud Nawaf AlKhalifah Khaleel Mohammad
Corresponding Author
Athary SaleemDepartment of General Surgery, Al-Adan Hospital, State of Kuwait
Figures & Tables





References
1. El Weshi A, Allam
A, Ajarim D, Al Dayel F, Pant R et al. (2010) Extraskeletal Ewing's sarcoma
family of tumours in adults: analysis of 57 patients from a single institution.
Clin Oncol (R Coll Radiol) 22: 374-381. [Crossref]
2. Muratori F,
Mondanelli N, Pelagatti L, Frenos F, Matera D et al. (2020) Clinical features,
prognostic factors and outcome in a series of 29 extra-skeletal Ewing Sarcoma.
Adequate margins and surgery-radiotherapy association improve overall survival.
J Ortho 21: 236-239. [Crossref]
3. Murthy SS, Challa
S, Raju K, Rajappa SJ, Fonseca D et al. (2020) Ewing sarcoma with emphasis on
extra-skeletal Ewing sarcoma: a Decade’s experience from a single Centre in India.
Clin Pathol 13: 2632010X20970210. [Crossref]
4. Xie CF, Liu M, Xi M
(2010) Extraskeletal Ewing’s sarcoma: a report of 18 cases and literature
review. Chin J Cancer 29: 420-424. [Crossref]
5. Kennedy JG, Eustace
S, Caulfield R, Fennelly DJ, Hurson B et al. (2000) Extraskeletal Ewing’s
sarcoma: a case report and review of the literature. Spine (Phila Pa 1976)
25: 1996-1999. [Crossref]
6. Hernando Cubero J,
Sanz Moncasi P, Hernández García A, Pajares Bernard I, Martínez Trufero J
(2016) Metastatic extraskeletal Ewing's sarcoma treated with trabectedin: A
case report. Oncol Lett 12: 2936-2941. [Crossref]
7. Pinto A, Dickman P,
Parham D (2011) Pathobiologic markers of the ewing sarcoma family of tumors:
state of the art and prediction of behaviour. Sarcoma 2011: 856190. [Crossref]
8. Aboumarzouk OM,
Coleman R, Goepel JR, Shorthouse AJ (2009) PNET/Ewing’s sarcoma of the rectum:
a case report and review of the literature. BMJ Case Rep 2009:
bcr0420091770. [Crossref]
9. Javery O, Krajewski
K, O’Regan K, Kis B, Giardino A et al. (2011) A to Z of extraskeletal Ewing
sarcoma family of tumors in adults: imaging features of primary disease,
metastatic patterns, and treatment responses. AJR Am J Roentgenol 197:
W1015-22. [Crossref]
10. Kim SK, Park YK
(2016) Ewing sarcoma: a chronicle of molecular pathogenesis. Hum Pathol
55: 91-100. [Crossref]
11. Applebaum MA, Worch
J, Matthay KK, Goldsby R, Neuhaus J et al. (2011) Clinical features and
outcomes in patients with extraskeletal Ewing sarcoma. Cancer 117:
3027-3032. [Crossref]
12. O'Keeffe F, Lorigan
JG, Wallace S (1990) Radiological features of extraskeletal Ewing sarcoma. Br
J Radiol 63: 456-460. [Crossref]
13. Knott MM, Hölting
TL, Ohmura S, Kirchner T, Cidre Aranaz F et al. (2019) Targeting the
undruggable: exploiting neomorphic features of fusion oncoproteins in childhood
sarcomas for innovative therapies. Cancer Metastasis Rev 38: 625-642. [Crossref]
14. Sabr A, Aloua R, Kerdoud
O, Slimani F (2021) Parotid Ewing's sarcoma: Extra-skeletal uncommon condition.
Ann Med Surg 65: 102304. [Crossref]
15. Eaton BR, Claude L, Indelicato DJ, Vatner R, Yeh B (2021) et al. Ewing sarcoma. Pediatric Blood Cancer 68: e28355. [Crossref]
16. Zöllner SK, Amatruda JF, Bauer S, Collaud S, de Álava E et al. (2021) Ewing sarcoma-diagnosis, treatment, clinical challenges and future perspectives. J Clinical Med 10: 1685. [Crossref]
